歯を白くしたい

whitening

ホワイトニング

ホワイトニングは、ご自身の歯を削らずに、
歯の白い輝きを取り戻す方法です。

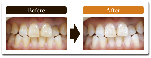
ホワイトニングによる美白効果の例

ホワイトニングジェルにより、歯の中に染み込んでいる汚れを分解し取り除くので、歯の色そのものを白くすることが可能です。

ホワイトニングには、大きく分けてオフィスホワイトニングホームホワイトニングの2種類があり、急ぎで行いたいかどうか、通院がどの程度可能かなど、患者さまのご要望に合わせてご提案いたします。

  • コーヒー、紅茶、ウーロン茶、赤ワインなどをよく飲む、過去によく飲んだ方
  • たばこをよく吸う、または多く吸っていた方
  • 歳をとるにつれて、歯が黄色く変色してきた方
  • 強くぶつけた歯が変色してきてしまった方
  • 抗生物質の副作用による変色が起こった方

※ホワイトニングについては、まれにしみるという方もいらっしゃいます

料金について

ホワイトニングバナー

※オフィスホワイトニングは前歯12本1回の価格です。

※ホームホワイトニングは2週間分、シリンジ4本セットの価格になります。
その後追加の場合は、2本で3,300円になります。

詳しくはご相談下さい。

オフィスホワイトニング 19,800円
ホームホワイトニング 16,500円

※税込み価格となります。

オフィスホワイトニング

ホワイトニング剤

当院では、患者さんに優しいオフィスホワイトニング剤を採用しております。

オフィスホワイトニングはその日のうちにホワイトニング効果が求められるため、高い過酸化水素濃度のホワイトニング剤を用いる必要がありますが、濃度が高くなればなるほど知覚過敏など有害事象発生のリスクも高まります。

当院で採用しているオフィスホワイトニング剤は、新技術「可視光応答型光触媒V-CAT(TiO2-xNx)」の応用により、比較的低い過酸化水素濃度での高いホワイトニング効果と低刺激性を両立させた新しいオフィスホワイトニング剤です。

ホワイトニングの例

オフィスホワイトニングのステップ

  • 1インフォームドコンセント

    患者さんに対してインフォームドコンセントを行います。
    シェードテイキングを行い、口腔内の撮影を行います。

  • 2歯面の清掃

    歯面清掃材を用いて歯面清掃を行います。

  • 3保護

    保湿効果の高いリップジェルを口唇に塗布し、リトラクター、つづいてフェイシャルシート、保護眼鏡を装着します。そしてコットンロール、ガーゼを用いて口唇の排除、粘膜面の保護を行い、最後に歯肉保護レジンで歯肉部分を覆い歯科重合用光照射器で硬化させます。

  • 4ジェルシリンジの用意

    シリンジAシリンジBを接合し、内容物全量を左右交互に20回移動させ、しっかり混和します。混和後、全てのジェルをシリンジBに移します。

  • Step5~8までを3回繰り返します

    唇が乾燥して痛みがでないよう適宜リップジェルを塗布します。

  • 5リアクター塗布

    リアクターのボトルをよく振り、ディスポーザブルディッシュに5滴滴下します。そして付属のディスポーザブルブラシを用い歯面に一層塗布します。

  • 6ホワイトニングジェルの塗布

    シリンジBディスポーザブルファイバー付きチップを装着し、歯面に塗布します。ジェルの厚さは、1mmを目安とします。

  • 7光照射

    塗布後、1歯につき1分間光照射を行います。

  • 8ホワイトニングジェルの除去

    光照射後、綿球などでホワイトニングジェルを除去します。
    この時、歯肉保護レジンが外れる可能性があるので水洗は行わないでください。

  • 9保護材の除去

    歯肉保護レジンやガーゼを全て除去し、水洗後、うがいをしてもらいます。

  • 10仕上げの研磨

    フッ素含有のジーシーPTCペーストファインを用いて歯面清掃を行い、ホワイトニングの完了です。
    術前と比較するために、口腔内を撮影します。

ホワイトニング照射器

漂白するための照射装置

歯面を漂白するための照射装置です。
この機器は、

  • 照射効率が良いため照射時間が短くて済む
  • 動いても大丈夫なので患者さんのストレスが軽減できる
  • 危険な紫外線領域(380nm以下)が含まれていない

などの特徴があります。

ホームホワイトニング

ホワイトニングステップの画像

当院では、下記のようなステップにそって、安心できるホワイトニングを行っております。
また、ホワイトニング後のアフターケアも大事にしております。
定期的にお声がけをいたしておりますので、ご来院いただくことでお口全体を綺麗に保ちやすくなります。

ホームホワイトニングのステップ

  • 1ホワイトニングについての説明/
    歯の表面をクリーニング

    ホームホワイトニングについての説明と現在の歯の色の確認を行います。
    そして、ホワイトニング効果を得やすくするために歯の表面のクリーニングを行います。

  • 2マウストレーの作製

    マウストレーの作製歯の型をとって、ホワイトニングジェルを塗布するときに使用するマウストレーを作製します。
    完成からマウストレーとホワイトニングジェルをお持ち帰りいただきます。

  • 3ホワイトニングジェルの注入

    ホワイトニングジェルの注入マウストレーへホワイトニングジェルを注入します。
    1歯あたり米粒2つ分を目安にします。

  • 4マウストレーの装着

    マウストレーの装着ホワイトニングジェルが注入されたトレーを装着します。
    ホワイトニングジェルが歯面全体に行き渡っていることを確認します。
    装着時間は歯科医師の支持に従ってください。

  • 5経過の確認

    経過の確認ホワイトニング効果の経過確認を行いますので、歯科医師に指示された日に来院してください。